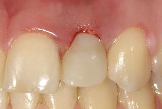
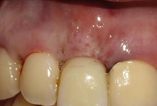
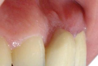
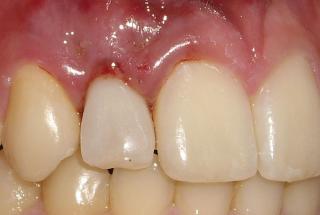
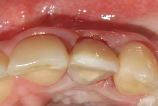
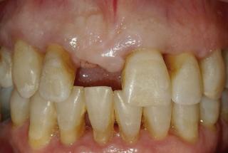
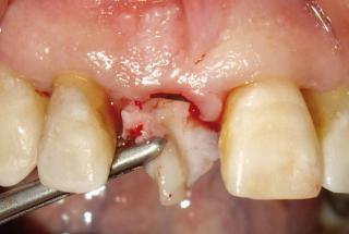
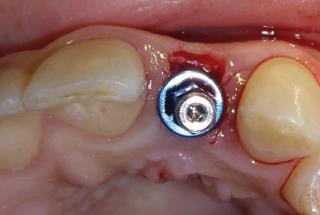
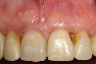
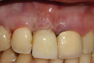
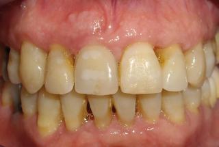
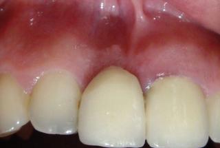
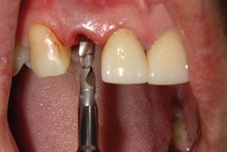
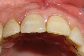
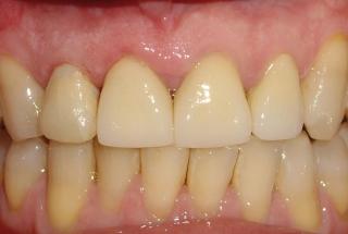
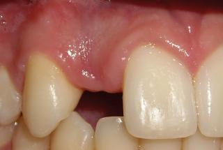
Clinical cases

MPI closely monitors clinical cases in the market to ensure their correct functioning and successful outcome.